Răng cửa: những điều quan trọng các bạn cần biết
Răng cửa nằm ở vị trí rất đặc biệt và có vai trò quan trọng trên cung hàm. Do đó nếu không bảo vệ và chăm sóc kỹ lưỡng sẽ gặp phải nhiều vấn đề ảnh hưởng đến thẩm mỹ và ăn nhai. Để giúp răng cửa khỏe mạnh hơn bạn đọc có thể tham khảo bài viết dưới đây.
Răng cửa là gì? Vị trí của răng cửa trên cung hàm?
Răng cửa nằm ở chính giữa cung hàm do đó rất dễ xác định chính xác vị trí. Mỗi người đều có 8 chiếc răng cửa trong đó 4 răng hàm trên và 4 răng hàm dưới.
Theo nha khoa, răng cửa được đánh số là răng số 1 (răng cửa giữa) và số 2 (răng cửa bên) trên cung hàm. Trong đó:
- Răng hàm trên bên phải là R11 và R12.
- Răng hàm trên bên trái là R21 và R22.
- Răng hàm dưới bên trái là R31 và R32.
- Răng hàm dưới trên phải là R41 và R42.

Đây là những chiếc răng mọc lên đầu tiên khi bé được 5 – 6 tháng tuổi. Sau đó, đến khi trẻ được 6 tuổi thì bắt đầu răng gãy đi và thay bằng răng vĩnh viễn. Thứ tự thay răng lần lượt theo vị trí các răng sữa đã mọc lên.
Cấu tạo và chức năng của răng cửa
Về hình dạng: Các răng cửa có hình chiếc xẻng, mặt cắn sắc bén và có diện tích nhỏ. Bên cạnh đó, chúng t chỉ có 1 chân răng duy nhất.
Về cấu tạo: Răng có cấu tạo gồm 3 lớp: Men răng, ngà răng và tủy răng.
- Men răng: Đây là phần cứng nhất cơ thể người và chứa hàm lượng khoáng lên đến 96%. Ngoài ra, 4% còn lại là nước và các vật liệu hữu cơ khác. Men răng chỉ sinh ra một lần do đó khi bị tổn thương không có khả năng tự ái tạo lại.
- Ngà răng: Nằm trong men răng và cùng với men răng bảo vệ buồng tủy cũng như nâng đỡ cấu trúc của răng. Cấu tạo gồm 70% là khoáng chất, 20% chất hữu cơ và 10% còn lại là nước. Ngà răng không có độ cứng như men răng mà có tính xốp, độ đàn hồi cao và mềm hơn xương.
- Tủy răng: Tủy răng nằm bên trong ngà răng, có khả năng sản sinh ra ngà răng và cung cấp chất dinh dưỡng, độ ẩm cho răng.

Về chức năng: Tương tự như các răng khác trên cung hàm, răng cửa cũng có đầy đủ chức năng ăn nhai, thẩm mỹ và phát âm:
- Chức năng ăn nhai: Nhiệm vụ chính của răng nanh, răng cửa là cắn và cắt thức ăn thành từng mảnh nhỏ. Nhờ đó quá trình này việc nhai, nghiền thức ăn diễn ra dễ dàng và hiệu quả hơn.
- Chức năng thẩm mỹ: Răng nằm ở phía ngoài của hàm nên rất dễ lộ ra khi bạn cười nói. Vì vậy, nếu răng bị khiếm khuyết người đối diện rất dễ nhận ra.
- Chức năng phát âm: Theo các chuyên gia, khả năng phát âm của mỗi người phụ nhiều vào sự tồn tại của các răng cửa. Do đó, nếu mất răng có thể là suy giảm tương quan giữa răng – môi – lưỡi khiến người bệnh không phát âm tròn trịa.
Cách xử lý một số vấn đề về răng cửa thường gặp?
Răng cửa gồm 8 chiếc và nằm ở vị trí rất quan trọng do đó có thể gặp nhiều vấn đề như:
Viêm lợi trùm răng cửa
Viêm lợi trùm răng cửa là hiện tượng nướu lợi bao trùm lên răng khi chúng đang trong giai đoạn mọc lên. Lúc này người bệnh sẽ có các triệu chứng sưng đỏ, viêm nhiễm nướu. Đặc biệt, người bệnh phải chịu cơn đau nhức kéo dài khiến việc ăn uống kém đi dẫn đến cơ thể suy nhược.
Có rất nhiều nguyên nhân gây bệnh, nhưng vệ sinh răng miệng không sạch sẽ có khả năng dẫn đến viêm lợi trùm cao nhất. Bệnh lâu ngày không được xử lý sẽ khiến mảng bám và vi khuẩn xâm nhập vào vị trí bị hở ở lợi trùm. Sau đó gây ra viêm lợi, viêm nha chu quanh răng cửa hoặc có thể bào mòn lớp men răng và phá hủy các tế bào mô lợi.

Một số trường hợp gặp biến chứng nặng khiến vi khuẩn xâm nhập vào niêm mạc, vào đường máu gây ra các bệnh lý viêm khớp, viêm phổi, nhiễm trùng máu,… đe dọa đến tính mạng con người.
Để giảm triệu chứng và điều trị dứt điểm mầm bệnh, bạn có thể áp dụng các cách sau:
Dùng thuốc ngừa viêm, giảm đau:
Bác sĩ có thể chỉ định bệnh nhân sử dụng một số thuốc Tây y giúp giảm đau ngăn ngừa viêm nhiễm diễn tiến nặng hơn như:
- Thuốc giảm đau thông thường: Loại thường dùng là Paracetamol có công dụng ngắt cơn đau tức thì.
- Thuốc chống viêm không chứa steroid (NSAID): Các loại thuốc được chỉ định Diclofenac, Naproxen, Ibuprofen, Celecoxib, Flurbiprofen,… Nhóm thuốc này có công dụng cao hơn Paracetamol nên thường được chỉ định cho trường hợp nặng hơn.
- Thuốc chống viêm chứa steroid: Công dụng chính của nhóm thuốc là kháng dị ứng, chống viêm nhiễm và ức chế miễn dịch. Các loại thuốc thường được bác sĩ chỉ định là Prednison và Dexamethason.
Ngoài ra, để giảm viêm nhiễm và giúp răng lợi khỏe mạnh hơn bác sĩ có thể yêu cầu bệnh nhân dùng thực phẩm chức nhiều vitamin C.
Cắt lợi trùm răng cửa:
Nhiều trường hợp viêm lợi trùm khiến mầm răng cửa không nhú được lên và phải mọc ngầm trong hàm. Khi đó bác sĩ sẽ chỉ định thực hiện tiểu phẫu để cắt bỏ lợi trùm giúp răng mọc lên đúng vị trí.
Hiện nay, việc cắt lợi trùm răng được thực hiện bằng laser nên có độ chính xác cao, an toàn, nhanh chóng hơn. Đặc biệt, người bệnh không cảm thấy đau đớn trong quá trình thực hiện và vết thương cũng nhanh chóng lành hơn.
Răng bị thưa
Răng thưa và to cũng là một trong những tình trạng dễ gặp phải nhất khi thay răng vĩnh viễn. Tình trạng này khiến khe hở ở giữa các răng có khoảng cách xa nhau. Thông thường, răng ở giữa hàm bị thưa do các nguyên nhân dưới đây:
- Kích cỡ răng nhỏ: Nếu 2 răng cửa có kích cỡ nhỏ, sẽ không đủ che lấp khoảng trống giữa 2 răng khiến chúng cách xa nhau.
- Do cung hàm răng quá rộng: Răng vẫn mọc đúng vị trí, kích cỡ tương xứng với các răng còn lại nhưng cung hàm quá rộng cũng có thể khiến răng bị tách xa nhau, tạo nên khe răng thưa.
- Do răng mọc lệch: Nếu 1 trong các răng cửa mọc lệch sẽ khiến các răng còn lại không thể tiến sát lại gần nhau.

Một số cách khắc phục tình trạng răng thưa hiệu quả nhất:
- Trám răng: Đây là kĩ thuật sử dụng vật liệu trám răng chuyên dụng để bù đắp lại phần mô răng bị khuyết thiếu. Khi đó bác sĩ sẽ tạo hình miếng trám để giúp răng có được kích cỡ đủ rộng để che lấp khe hở mà vẫn đảm bảo tính thẩm mỹ.
- Niềng răng: Đây là giải pháp giúp kéo các răng trở lại gần với nhau hơn mà không cần can thiệp bằng vật liệu nhân tạo. Bệnh nhân có thể thực hiện niềng 2 răng, 4 răng hoặc niềng toàn hàm để khắc phục tình trạng răng thưa.
- Bọc răng sứ: Bọc răng sứ không chỉ khắc phục tình trạng răng cửa thưa mà còn giúp các răng trắng sáng và bền đẹp hơn. Khi thực hiện, bác sĩ sẽ mài 1 phần nhỏ mô răng thật sau đó bọc chụp mão sứ ra bên ngoài giúp các răng khít vào nhau.
- Làm mặt dán sứ Veneer: Dán sứ Veneer có độ mỏng khá tinh tế, đảm bảo có hình dạng giống với mặt trước của răng cửa bị thưa nên mang lại thẩm mỹ cao. Tuy nhiên, phương pháp này chỉ áp dụng cho những bệnh nhân bị răng cửa thưa tình trạng nhẹ (vì mặt dán sứ khá mỏng, chỉ bù đắp được phần nhỏ độ dày của răng).
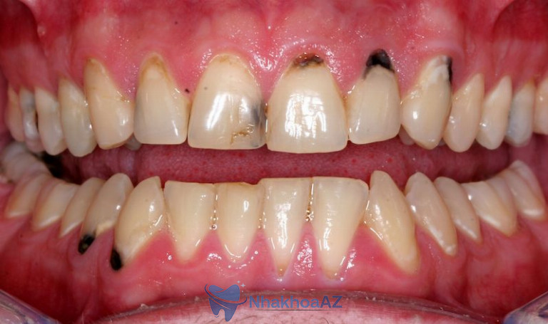
Răng số 1 và số 2 bị sâu
Sâu răng là bệnh lý có thể gặp ở tất cả các răng trong đó có răng cửa. Nguyên nhân gây bệnh là do vệ sinh răng miệng kém, khiến mảng bám tích tụ lâu ngày tạo điều kiện cho vi khuẩn gây sâu răng phát triển. Dấu hiệu nhận biết ban đầu là những lỗ nhỏ tối màu trên thân răng, lâu dần lỗ sâu phát triển thành những hố to mà đen ăn vào trong tủy răng.
Sâu răng, đặc biệt là sâu ở vị trí chính giữa cung hàm sẽ làm mất thẩm mỹ nghiêm trọng. Ngoài ra, bệnh lý này còn gây ra triệu chứng đau nhức ảnh hưởng chức năng ăn nhai và làm khởi phát các bệnh nha khoa khác.

Cách điều trị sâu răng và giúp răng cửa đẹp, bền hơn:
- Tái khoáng răng: Trường hợp mới khởi phát bệnh, các lỗ sâu còn nhỏ bác sĩ sẽ chỉ định bôi Gel florua để tái khoáng lại phần đã mất. Tuy nhiên, biện pháp này không có hiệu quả cao, tình trạng sâu răng rất dễ tái phát lại.
- Hàn trám răng: Hàn trám răng là biện pháp giúp loại trừ bệnh sâu răng khi các lỗ sâu bắt đầu phát triển mạnh. Các bác sĩ sẽ sử dụng các vật liệu hàn trám có màu sắc giống răng thật để lấp kín các lỗ sâu răng. Phương pháp này giúp ngăn ngừa vi khuẩn gây sâu răng phát triển và lây lan sang vị trí răng bên cạnh.
- Bọc răng sứ: Phương pháp bọc răng sứ được áp dụng khi sâu răng đã ăn hơn 1/2 chiếc răng. Khi đó thực hiện hàn trám răng không còn hiệu quả cao do men răng còn lại quá ít để dán vào và không đạt được thẩm mỹ tối đa. Bọc răng sứ giúp khắc phục hoàn toàn vấn đề này, ngoài ra còn giúp bảo vệ tủy và chân răng một cách tốt nhất.
- Nhổ răng sâu: Nếu răng đã ăn sâu vào tủy làm chết tủy và khiến chân răng lung lay thì nhổ răng là giải pháp điều trị tốt nhất. Vì không loại bỏ triệu để răng sâu mầm bệnh sẽ lan sang răng bên cạnh và dẫn đến nhiều hệ lụy khác. Tuy nhiên không phải trường hợp nào cũng có thể nhổ bỏ răng cửa bị sâu được. Bệnh nhân cần đến nha khoa thăm khám để bác sĩ quyết định nên nhổ bỏ răng hay không.

Răng cửa mọc lệch trên cung hàm
Một số trường hợp răng mọc lệch thường gặp phải gồm:
- Răng cửa hình cánh bướm (mọc lệch hình chữ V): Đây là tình trạng 2 răng cửa mọc vênh so với các răng kế bên. Khi đó cạnh răng phía trong – nơi tiếp giáp của hai răng trũng xuống tạo nên hình chữ V, đôi khi bị hô vẩu ra bên ngoài khá nhiều.
- Mọc lộn xộn không đều (ít hoặc nhiều răng): Là tình trạng răng lệch ra ngoài cung răng hoặc bị thụt lùi nhiều vào phía trong cung hàm.
- Mọc nghiêng: Trường hợp này thay vì mọc thẳng đứng răng lại bị nghiêng qua một bên.
- Mọc lệch chìa ra ngoài: Chân răng hoặc một phần của chân răng vẫn nằm trong cung hàm nhưng phần thân răng to hơn và bị chìa ra bên ngoài.
Nguyên nhân dẫn đến tình trạng này là do bẩm sinh, thói quen xấu lúc nhỏ hoặc do mất răng gây ra. Để khắc phục tình trạng này giúp cung răng đều đều hơn bạn có thể thực hiện:
- Niềng răng: Đây được cho là giải pháp giúp răng về đúng vị trí trên cung hàm hiệu quả nhất. Tùy vào mức độ lệch lạc của răng mà bạn có thể áp dụng niềng răng kim loại, niềng răng sứ hoặc dùng khay trong suốt.
- Bọc răng sứ: Nếu răng cửa mọc lệch lạc và có thân răng to bác sĩ có thể chỉ định bạn thực hiện bọc răng sứ. Phương pháp này cần mài bớt phần thân răng rồi dùng răng sứ bọc lại để răng đều đẹp và chắc khỏe hơn.

Răng cửa bị vẩu
Răng cửa rất dễ bị hô vẩu khiến cho khuôn mặt mất cân đối và kém thẩm mỹ. Nguyên nhân dẫn đến tình trạng này có thể do di truyền, thói quen mút tay, bú bình, hoặc do mất răng sữa quá sớm.
Theo nha khoa, răng cửa bị hô vẩu là một trong những trường hợp sai khớp cắn có thể làm gia tăng bệnh lý về răng miệng. Do đó, để khắc phục tình trạng này nhiều người muốn nhổ bỏ răng cửa bị vẩu để trồng lại răng giả thay thế. Tuy nhiên, đây không phải là giải pháp tốt nhất vì gây tốn kém rất nhiều cho người bệnh.
Muốn khắc phục triệt để vấn đề hô vẩu răng cửa, các bác sĩ thường khuyên người bệnh thực hiện niềng răng chỉnh nha. Đây được cho là phương pháp giúp khắc phục hô vẩu hiệu quả và triệt để nhất hiện nay. Phương pháp này không chỉ giúp chỉnh răng về đúng vị trí trên cung hàm mà còn tránh xâm lấn đến răng thật. Điểm trừ duy nhất cho phương pháp này là bạn phải đeo khí cụ niềng từ 1 – 2 năm và thường xuyên phải đến nha khoa chỉnh lại.

Răng bị nứt gãy
Răng cửa nằm ở vị trí chính giữa nên trong quá trình sinh hoạt hằng ngày dễ bị tổn thương do va đập mạnh hoặc do vô tình gặp phải tai nạn ngoài ý muốn. Khi bị chấn thương răng bạn có thể gặp 1 trong 2 tình trạng sau:
Nứt hoặc mẻ 1 phần răng:
Đây là tình trạng răng bị tổn thương ở mức nhẹ, chỉ làm giảm thẩm mỹ mà chưa ảnh hưởng đến chức năng ăn nhai. Biện pháp khắc phục tốt nhất là thực hiện hàn trám răng hoặc bọc răng sứ để bảo vệ lớp tủy bên trong.
Gãy răng hoàn toàn:
Răng cửa bị gãy là không chỉ gây mất thẩm mỹ mà còn ảnh hưởng đến chức năng ăn nhai và phát âm của người bệnh. Không chỉ vậy, nếu mất răng lâu ngày sẽ dẫn đến tình trạng:
- Khiến xương hàm bị tiêu, dẫn đến tình trạng móm, lão hóa nhanh.
- Răng mất đi tạo ra khoảng trống khiến các răng khác còn lại dễ bị trồi, thụt, nghiêng đổ về 1 phía gây sai lệch các khớp cắn.
- Trường hợp này có nguy cơ mắc phải các bệnh lý sâu răng, viêm nha chu, hôi miệng,…
Để khắc phục răng cửa đã mất, bác sĩ có thể chỉ định bệnh nhân thực hiện các phương pháp phục hình răng như làm cầu răng sứ, lắp hàm giả tháo lắp hoặc cấy răng Implant. Tùy vào tình trạng mất răng và thu nhập bạn có thể lựa chọn phương pháp phù hợp nhất.

Mức chi phí thực hiện các biện pháp phục hồi răng cửa do chấn thương nhẹ và nặng hiện nay:
- Hàn trám răng: 100.000 – 500.000 VNĐ/răng.
- Bọc răng sứ: 3.000.000 – 18.000.000 VNĐ/răng
- Hàm giả tháo lắp: Chi phí từ 2.000.000 – 10.000.000 VNĐ/hàm.
- Cầu răng sứ: 1.000.000 – 7.000.000 VNĐ/răng.
- Trồng răng Implant: 23.000.000 – 240.000.000 VNĐ/răng.
Biện pháp chăm sóc và bảo vệ răng cửa
Răng cửa có kích thước to và nằm ở chính giữa cung hàm nên rất dễ chăm sóc và bảo vệ. Bạn có thể thực hiện các biện pháp giúp răng chắc khỏe hàng ngày bằng cách:
Vệ sinh răng miệng đúng cách:
- Bạn nên thực hiện đánh răng ít nhất 2 lần/ngày bằng kem đánh răng có chứa fluor giúp bảo vệ men răng tốt nhất.
- Nên sử dụng bàn chải đánh răng có lông mềm và thực hiện chải răng đều khắp các bề mặt răng và lưỡi.
- Cần thay bàn chải mới sau mỗi 3 tháng hoặc khi chúng có dấu hiệu bị mòn. Vì bàn chải là nơi chứa rất nhiều vi khuẩn có thể làm khởi phát bệnh lý răng miệng.
- Tránh dùng tăm xỉa răng hoặc dùng răng cửa cắn các vật cứng như nắp chai, bút,… Những hành động này có thể khiến răng bị tổn thương gây ra tình trạng nứt, gãy, sâu răng,…
- Khi chơi thể thao bạn nên đeo dụng cụ bảo vệ hàm để tránh chấn thương có thể xảy ra.

Bổ sung dinh dưỡng khoa học cho cơ thể:
- Nên hạn chế ăn các thực phẩm có hàm lượng đường cao như bánh ngọt, kẹo, hạt khô, nước có gas,…
- Không nên ăn các thực phẩm có tính axit thường xuyên vì chúng có thể làm mòn men răng nhanh hơn.
- Cần ăn nhiều thực phẩm chứa canxi, vitamin, flour vào chế độ ăn hằng ngày để giúp răng chắc khỏe hơn.
- Nên uống nhiều nước mỗi ngày, bạn có thể uống nước lọc hoặc nước ép rau củ quả để gia tăng dinh dưỡng.
- Cần hạn chế hút thuốc lá và uống cà phê thường xuyên vì có thể khiến men răng bị ố vàng và yếu hơn.
Không phải trường hợp nào răng cửa mọc lên cũng hoàn chỉnh và khỏe mạnh. Do đó, để phòng ngừa nguy cơ gặp bệnh lý nha khoa bạn không chỉ chăm sóc răng hàng ngày mà nên đến nha khoa kiểm tra sức khỏe răng miệng thường xuyên.
Bài gốc: https://hoinhakhoa.com/rang-cua-3606.html
topAZ Review có 4 tiêu chí rõ ràng giúp bạn đọc có quyết định sáng suốt và chính xác hơn
Đầy đủ Minh bạch Giá trị Hữu íchDOANH NGHIỆP: Được đăng tải thông tin MIỄN PHÍ.
Trở thành người đầu tiên bình luận cho bài viết này!